Quanto antes o câncer de boca for tratado, maiores as chances de cura e de recuperação da qualidade de vida do paciente
O câncer de boca, também conhecido como câncer de cavidade oral, é um tipo de neoplasia maligna que pode afetar os lábios, a língua, o assoalho da boca, o palato duro, as gengivas e outras regiões da cavidade oral. Segundo o Instituto Nacional do Câncer (Inca), essa doença é mais comum em homens e afeta 3,6 pessoas a cada 100 mil habitantes no Brasil.
Vale destacar, também, que a taxa de mortalidade associada ao quadro é de 1,5 a cada 100 mil brasileiros, fator que reforça a importância de diagnóstico precoce para o adequado tratamento do câncer de boca.
Quero saber mais sobre o câncer de boca!
Quais os tipos de câncer de boca?
Os principais tipos de câncer de boca diferem de acordo com a célula que deu origem ao tumor. O principal deles é o carcinoma de células escamosas (ou epidermoide), que corresponde a cerca de 90% dos casos e afeta principalmente as células que revestem a superfície da boca e da garganta. Porém, conforme se desenvolve, esse tumor pode se tornar invasivo e atingir tecidos adjacentes, incluindo os vasos e nervos, de tal forma que o tratamento do câncer de boca visa impedir o crescimento e suas complicações.
Outros tipos menos comuns de câncer de boca incluem:
- Adenocarcinoma de glândulas salivares;
- Carcinoma de células basais, que tende a se desenvolver nos lábios;
- Melanoma oral;
- Sarcomas.
Como o diagnóstico é realizado?
Quanto antes obtiver o diagnóstico da doença, melhor é o resultado do tratamento do câncer de boca. Por isso, é importante que o paciente procure um cirurgião de cabeça e pescoço mediante quaisquer sintomas ou sinais de lesão na região oral.
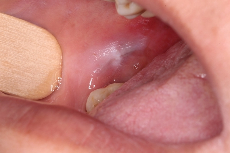
Durante a consulta, o médico fará uma anamnese detalhada e um exame físico para procurar lesões, nódulos ou áreas de descoloração na cavidade oral. Se alguma anormalidade for encontrada, exames adicionais podem ser solicitados, como biópsia, exames de imagem e, em alguns casos, a biópsia pode ser feita no consultório no mesmo dia, agilizando o diagnóstico do câncer de boca.
É importante sabermos o estágio que o tumor se encontra antes de partirmos para as opções de tratamento para o câncer de boca.
Diagnóstico e tratamento eficaz com o cirurgião Dr. Pablo Quintana!
Qual é o tratamento do câncer de boca?
O tratamento do câncer de boca depende do estágio da doença, localização do tumor, envolvimento de linfonodos (metástases), nódulos pulmonares (metástases a distância) saúde geral do paciente e preferências pessoais. As opções incluem cirurgia, radioterapia, quimioterapia, imunoterapia e cuidados paliativos. Além disso, a depender da evolução e gravidade do quadro, uma combinação desses tratamentos pode ser necessária.
Radioterapia
A radioterapia utiliza radiação de alta energia diretamente na região do tumor para destruir células cancerígenas, indicada tanto como tratamento primário para tumores inoperáveis ou ainda que a condição de saúde do paciente não permita o tratamento cirúrgico.
Quimioterapia
Outra forma de tratamento do câncer de boca é a quimioterapia, método que envolve o uso de medicamentos sistêmicos para destruir células cancerígenas. Os medicamentos quimioterápicos podem ser administrados por via oral ou intravenosa. O tratamento quimioterápico para o câncer de boca é geralmente paliativo e comumente indicados após o tratamento cirúrgico, caso o tumor tenha margens comprometidas ou a metástase no linfonodo tenha ultrapassado a cápsula do linfonodo, piorando o prognóstico do paciente.
Existe ainda a quimioterapia neoadjuvante, que vem se mostrando uma opção antes do tratamento cirúrgico. Porém, o tratamento precisa ser amplamente discutido com a equipe oncológica.
Imunoterapia
Os medicamentos imunoterápicos são estimulantes do sistema imunológico e ajudam a desbloquear as defesas naturais do corpo para que possam reconhecer e destruir as células cancerígenas. Esse tipo de tratamento do câncer de boca é particularmente útil para cânceres avançados, recidivantes ou metastáticos que não respondem a outros tratamentos, visto que seus efeitos colaterais são menores.
Tratamento paliativo
O tratamento paliativo para tumores é focado em proporcionar qualidade de vida através do alívio dos sintomas e apoio emocional. Inclui controle da dor, nutrição adequada, terapia fonoaudiológica para dificuldades de fala e de deglutição, e apoio psicológico.
Quando o tratamento cirúrgico do câncer de boca é indicado?
A cirurgia é frequentemente o tratamento de escolha para câncer de boca em estágios iniciais ou localizados.
As indicações para cirurgia de câncer de boca incluem:
- Remoção do tumor primário com margens de tecido saudável;
- Remoção dos linfonodos do pescoço para verificar a presença de metástases;
- Reconstrução da região já abordada em cirurgia prévia;
- Restauração da funcionalidade mandibular após remoção cirúrgica prévia;
- Confecção de traqueostomia, caso necessário;
- Passagem de via alimentar, caso o paciente precise.
Saiba se o tratamento cirúrgico é indicado para o seu caso!
Portanto, a escolha do tipo de cirurgia no tratamento do câncer de boca depende do tamanho, localização e extensão do tumor, além de abordagens prévias. Dessa forma, cirurgias menos invasivas podem ser suficientes para tumores pequenos, enquanto tumores maiores podem exigir procedimentos mais extensos, incluindo remoção de partes da mandíbula ou língua.
Ou seja, o sucesso do tratamento do câncer de boca depende de vários fatores, incluindo a detecção precoce, a escolha do tratamento adequado e o acompanhamento rigoroso. Por isso, a prevenção, por meio da redução de fatores de risco como o tabagismo, e a atenção aos sintomas para buscar atendimento médico são fatores importantes para reduzir a incidência dessa doença.
O tratamento do câncer de boca é multiprofissional. Isso quer dizer que o paciente precisa de uma equipe familiarizada com o processo cirúrgico oncológico de tratamento dos tumores — tanto iniciais como avançados — malignos de boca, além de equipe de reconstrução hábil para proporcionar melhora na qualidade de vida, equipe de radioterapia e oncologia (permitindo complementação do tratamento quando necessário) e, por último, equipes de nutrição, fonoterapia, fonoaudiólogas para oferecer ao paciente uma abordagem funcional antes, durante e após o tratamento.
Entre em contato agora mesmo com o Dr. Pablo Quintana e agende uma consulta!
Fontes:

